Your smile depends on more than straight, white teeth. It rests on your gums. Healthy gums hold your teeth in place, shape how your smile looks, and affect how long cosmetic dental work lasts. Without strong gums, veneers chip, crowns loosen, and whitening results fade fast. Many people ask a Georgia dentist for a brighter smile, yet feel shocked when told they first need gum treatment. That reaction is common. Gum disease often grows quietly. It causes swelling, bleeding, and bone loss that you might not notice until the damage is serious. Then cosmetic work becomes risky or even impossible. This blog explains why gum health decides if cosmetic dentistry succeeds or fails. You will see how to spot early warning signs, what to ask at your next visit, and simple daily steps that protect your investment in a better smile.
How Your Gums Shape Your Smile
Your gums do three key jobs for every cosmetic treatment.
- They hold your teeth steady.
- They frame how your teeth look.
- They protect the bone under your teeth.
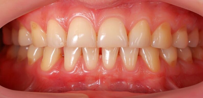
When gums pull away, teeth start to look longer and uneven. Then even perfect veneers or bonding look crooked. When gums swell, they can cover part of the teeth. Then whitening or shaping gives weak results because much of the tooth stays hidden.
Healthy gums stay tight, flat, and pale pink. This quiet background lets the cosmetic work stand out. Unhealthy gums draw the eye right away. People may notice redness or puffiness first, not the new crown or aligner result.
Why Cosmetic Dentistry Fails Without Healthy Gums
Cosmetic treatments sit on teeth. Yet those teeth sit in the gum and bone. If the base is weak, the work on top will fail. That is true for three common treatments.
- Whitening. Gum infections can make teeth feel loose or sore. Strong bleach on weak gums can cause more pain and sensitivity.
- Veneers and bonding. These need a dry, stable surface. Bleeding gums make it hard to bond material to teeth. The bond may break early.
- Crowns and bridges. These need strong roots and bones. Gum disease eats away at bone. Then crowns can loosen or fall off.
The Centers for Disease Control and Prevention explains that almost half of adults over 30 have some form of gum disease.
This problem is common. It is not a personal failure. It is a warning sign that you need treatment before cosmetic work.
Early Warning Signs You Should Never Ignore
Gum disease often feels silent. Still, your body sends clear signals. Watch for three early signs.
- Bleeding when you brush or floss.
- Red, shiny, or puffy gums.
- Bad breath that does not fade after brushing.
Later signs include receding gums, loose teeth, and pain when you chew. At that point, cosmetic options shrink. Treatment can still help stop more damage. Yet some teeth may need removal or longer care.
The National Institute of Dental and Craniofacial Research offers simple facts on gum disease and treatment.
Gum Health And Popular Cosmetic Treatments
The table below shows how gum health links to common cosmetic choices.
|
Treatment |
What You Want |
Risk With Unhealthy Gums |
Benefit With Healthy Gums |
|---|---|---|---|
|
Teeth whitening |
Brighter tooth color |
More sensitivity. Uneven color from exposed roots. |
Even shade. Less pain. Longer-lasting color. |
|
Veneers |
Even shape and color |
Gum recession shows edges. Veneers chip or loosen. |
Hidden edges. Stable bond. Natural smile line. |
|
Bonding |
Fix chips and gaps |
Bleeding blocks bonding. Stains gather at the gum line. |
Smooth join at gum line. Strong repair. |
|
Crowns and bridges |
Protect weak teeth |
Bone loss. Loose fit. Food traps under the edges. |
Firm bite. Clean edges. Longer crown life. |
|
Aligners or braces |
Straighter teeth |
Teeth move in weak bone. Roots can shorten. |
Safe tooth movement. Stable final result. |
Questions To Ask Before Any Cosmetic Treatment
You have a right to clear answers. Before you agree to cosmetic work, ask three simple questions.
- Are my gums healthy enough for this treatment right now?
- What gum problems do you see on my X-rays or exam?
- What gum care do you advise before and after the cosmetic work?
Then ask for a plain language plan. You should know how long gum treatment will take, how many visits you need, and what it will cost. You should also know what could happen if you skip gum care and only do the cosmetic work.
Daily Steps That Protect Your Cosmetic Work
Strong gums come from small daily steps. These steps help the whole family.
- Brush twice a day with a soft brush for two minutes.
- Clean between teeth once a day with floss or tiny brushes.
- Use a fluoride toothpaste.
- Limit sugary drinks and snacks between meals.
- Schedule cleanings and checkups at least twice a year.
For children, help with brushing until they can tie their own shoes. For older adults, ask the dentist to check for dry mouth from medicines. Dry mouth raises the risk of gum disease and tooth decay.
When To Seek Help Right Away
Some signs mean you should not wait.
- One or more teeth feel loose.
- Your bite feels different when you close your mouth.
- Your gums hurt or swell in one spot.
- You see pus around a tooth.
These signs may show a deep infection. That infection can spread. It can also damage cosmetic work you already have. Call a dentist as soon as you can if you notice any of these.
Protect Your Smile Before You Change It
Cosmetic dentistry can lift your confidence. Yet the real power sits in your gums. When you put gum health first, you protect your teeth, your money, and your peace of mind. You also give any cosmetic work the best chance to last.
Start with one step. At your next visit, ask for an honest review of your gums. Then choose a treatment that respects both beauty and health. Your future smile will depend on that choice.

