Let’s not overcomplicate this. Most people don’t wake up one day and decide, “I need fillers.” It usually starts in a much quieter way. Maybe it’s a photo where your face looks more tired than you remember feeling. Or a moment in…
Endodontists are specialists in the field of dentistry who deal with issues within the tooth. They target the pulp which is the soft tissue that contains nerves and blood supply. Infection or damage of this part may lead to a lot of…
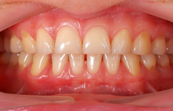
Your smile depends on more than straight, white teeth. It rests on your gums. Healthy gums hold your teeth in place, shape how your smile looks, and affect how long cosmetic dental work lasts. Without strong gums, veneers chip, crowns loosen, and…
Routine dental visits can feel tense. Your jaw tightens. Your shoulders rise. You count the seconds until it ends. General dentistry changes that. It focuses on simple steps that protect your teeth and calm your nerves at the same time. A Wellston,…
A strong smile affects how you speak, eat, work, and connect with people. When you feel uneasy about your teeth, you may hide your smile, avoid photos, or skip social events. That quiet shame can drain your energy every single day. Modern…
General dentists notice small changes before you feel pain. They watch how your teeth, gums, and bite work together. They look for early signs of decay, infection, grinding, and even sleep issues. They see clues in worn edges, tiny cracks, and bleeding…
You often wait for pain before you call the dentist. By then, damage is already growing. General dentistry works like an early warning system. It finds small problems before they turn into infections, broken teeth, or lost teeth. Regular exams, cleanings, and…
Your mouth changes over time. Your tools should keep up. Old toothbrushes, worn floss picks, and weak water sprayers do not clean well. They leave behind sticky film, trapped food, and hidden germs. These stay on your teeth and gums and can…
Healthy hormones support energy and strength. Testosterone plays a key role in male vitality. Natural habits shape hormone balances each day. Food choices affect internal chemistry. Sleep patterns guide recovery. Movement improves circulation and cell health. Stress shapes hormonal signals. Sunlight supports…
Cosmetic dentistry isn’t just about looks. It impacts your oral health. Imagine how a bright smile boosts confidence. That’s powerful. But there’s more. Straight teeth help with brushing. This prevents plaque and gum issues. Whitening removes stains that harm teeth. Veneers protect…